发布时间:2025-08-29浏览量:2019
人体胃肠道是从口腔到肛门的管道系统
由食管、胃、小肠和大肠四大部分串联而成
食管笔直的将食物输送到胃
胃以“J形”膨大腔室蠕动和酸化食糜
小肠借助迂回漫长的皱襞和绒毛吸收养分
大肠通过结肠袋节律收缩将残渣转化为粪便
整个系统在神经和激素的指挥下完成人体基础代谢

胃肠依次分为:胃、小肠(十二指肠、空肠、回肠)和大肠(盲肠、阑尾、结肠、直肠)等部。

腹腔消化道的血液供应主要来自腹主动脉的分支,包括肠系膜上动脉和肠系膜下动脉。其静脉回流则较为特殊:血液由肠系膜上静脉和肠系膜下静脉等收集,汇合后形成门静脉。门静脉将血液输入肝脏进行代谢后,再经肝静脉汇入下腔静脉,最终返回心脏。
三维重建在肾脏肿瘤中的临床应用

1.结直肠癌
结直肠癌是常见的消化道恶性肿瘤,三维重建技术辅助腹腔镜CRC根治术治疗CRC患者,能减少手术时间及术中出血量可改善胃肠功能与免疫功能,加快术后早期病情恢复,且能提高手术安全性。
2.腹腔肿瘤
腹腔肿瘤包括肝肿瘤、脾肿瘤、肠系膜肿瘤等。三维重建技术在腹腔肿瘤的诊断、治疗和预后评估中具有重要作用。通过三维重建,可以更全面地展示肿瘤的位置、形态、侵犯范围以及与周围器官的关系,有助于医生制定更精确的手术方案和预后判断。此外,三维重建还可以用于评估手术效果和指导进一步的治疗,例如在机器人辅助手术中,三维重建技术可以提供更精确的手术导航和操作指导。
3.肠套叠
肠套叠是儿童常见的急腹症之一,主要由肠道蠕动异常引起。三维重建技术在肠套叠的诊断和治疗中具有重要作用。
通过三维重建,可以更全面地展示肠管的形态和位置关系,有助于医生准确判断肠套叠的类型和位置,从而制定更精确的治疗方案。此外,三维重建还可以用于评估治疗效果和指导进一步的治疗。
4.胃壁增生
胃壁增生,如胃炎和胃溃疡,通常会导致胃壁的形态变化。三维重建技术能够立体地展示病变范围及其与周边组织的解剖关系,从而帮助外科医生制定更精确的手术规划,提高手术成功率。
三维重建应用于胃肠疾病
专家共识与循证依据
三维重建检查可对肠系膜血管进行快速准确扫描,有助于精确诊断肠系膜动静脉内栓塞状况。对临床高度怀疑绞窄性肠梗阻、小肠肿瘤及肿瘤性肠套叠、局限性慢性肠缺血性病变等导致的小肠梗阻很有价值。
——《小肠梗阻的诊断与治疗中国专家共识(2023版)》
三维重建技术作为一种新的辅助诊断技术,与CT扫描结合能清晰地显示胃壁、胃腔内 外病变和肿瘤范围,在胃癌的定位、定性和定量诊断中发挥优势。
在胃癌手术前行双源CT增强扫描和腹腔血管三维重建,明确胃周血管的位置、解剖学特点及其变异情况,做好详细的手术预案,可明显缩短手术时间。、
——《三维重建技术在胃肠疾病中的应用进展》
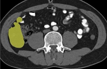
阿梵D胃肠疾病(结肠癌)临床案例分享





↑胃肠病灶切除分析

让手术更精准,让患者更好生活
梵晨博生医药集团-旗下华医MedAI精准医疗公司
&中科院软件所联合出品
阿梵D——三维重建医学图像处理软件
